Skip to content Skip to sidebar Skip to footer

Bullous Lung Disease Symptoms

Pdf Bullous Lung Disease

Pdf Bullous Lung Disease

Bullous lung disease symptoms. There are several subtypes of emphysema including subcutaneous emphysema bullous. Group B GOLD 1 or 2. Most people with bullous emphysema experience shortness of breath wheezing coughing up phlegm and centralized pain in their chests especially when engaging in physical activity.

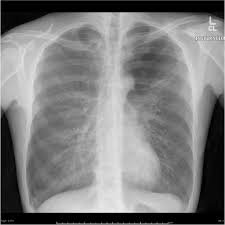
This emphysema also includes deterioration of alveolar tissue and this is basically lung tissue that makes up the walls between air sacs. Bullous Lung Disease is the most common form of emphysema. As the disease gets worse scars form and the tissue becomes stiff and thick.

You may find it harder to breathe in enough air and youll get short of breath even during normal activities. This is the stage where most people see their doctor for coughing. The main problem with this condition is that this emphysema is preventing lungs to work normaly and the result.

Some patients suffer from nausea loss of appetite and fatigue as a. Patients frequently present with nonspecific symptoms including intermittent wheeze and cough and these are often attributed to other conditions such as asthma and smoking-related COPD especially when there is concurrent heavy smoking history. As the disease progresses you may find it increasingly difficult to breathe and engage in daily activity.

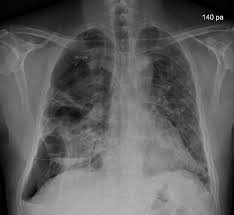
Emphysematous bullae can cause many respiratory problems including shortness of breath. Your FEV 1 is between 50 and 80. The harmful effects of tobacco smoking especially with regard to the aetiology of chronic obstructive pulmonary disease are well documented3 Large emphysematous bullae may develop usually in the context of significant tobacco exposure over many years and tend to be associated with airway obstruction reduced gas transfer factor and diffusion coefficient and evidence of centrilobular.

Typically the symptoms are those of COPD. Also people with this illness can become easily fatigued during physical activities since the. You have more symptoms than people in Group A.

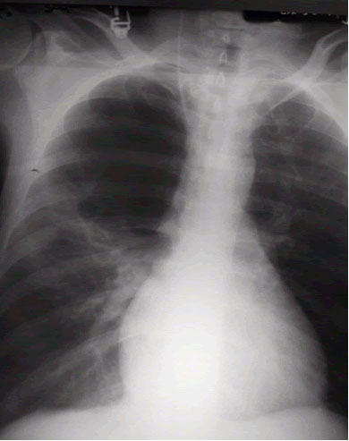
This is condition which is characterized by abnormal and enlarged air spaces within the lungs.

Pdf Bullous Lung Disease

Pdf Bullous Lung Disease

Bullous Lung Disease Ctsnet

Bullous Lung Disease Ctsnet

Bullous Lung Disease The Western Journal Of Emergency Medicine

Bullous Lung Disease The Western Journal Of Emergency Medicine

View Of Bullous Lung Disease The Southwest Respiratory And Critical Care Chronicles

View Of Bullous Lung Disease The Southwest Respiratory And Critical Care Chronicles

Lung Bullae With Air Fluid Levels What Is The Appropriate Therapeutic Approach Respiratory Care

Lung Bullae With Air Fluid Levels What Is The Appropriate Therapeutic Approach Respiratory Care

Sarcoidosis As A Rare Cause For Symmetrical Giant Bullous Disease Bmc Pulmonary Medicine Full Text

Sarcoidosis As A Rare Cause For Symmetrical Giant Bullous Disease Bmc Pulmonary Medicine Full Text

Learning Radiology Bullous Disease Of The Lungs

Learning Radiology Bullous Disease Of The Lungs

Development Of Bullous Lung Disease In A Patient With Severe Covid 19 Pneumonitis Bmj Case Reports

Development Of Bullous Lung Disease In A Patient With Severe Covid 19 Pneumonitis Bmj Case Reports

Cureus Vanishing Lung Syndrome An Idiopathic Bullous Emphysema Mimicking Pneumothorax

Cureus Vanishing Lung Syndrome An Idiopathic Bullous Emphysema Mimicking Pneumothorax

Cureus Vanishing Lung Syndrome Compound Effect Of Tobacco And Marijuana Use On The Development Of Bullous Lung Disease A Joint Effort

Cureus Vanishing Lung Syndrome Compound Effect Of Tobacco And Marijuana Use On The Development Of Bullous Lung Disease A Joint Effort

Marijuana Abuse And Bullous Emphysema

Marijuana Abuse And Bullous Emphysema

Large Lung Bullae In Marijuana Smokers Thorax

Large Lung Bullae In Marijuana Smokers Thorax

Bullous Disease Of The Lung Thoracic Key

Bullous Disease Of The Lung Thoracic Key

Bullous Lung Disease Ctsnet

Bullous Lung Disease Ctsnet

Bullous Emphysema Pathology Britannica

Bullous Emphysema Pathology Britannica

Images In Copd Giant Bullous Emphysema Journal Of Copd Foundation

Images In Copd Giant Bullous Emphysema Journal Of Copd Foundation

Images In Copd Giant Bullous Emphysema Journal Of Copd Foundation

Images In Copd Giant Bullous Emphysema Journal Of Copd Foundation

Lung Bullae With Air Fluid Levels What Is The Appropriate Therapeutic Approach Respiratory Care

Lung Bullae With Air Fluid Levels What Is The Appropriate Therapeutic Approach Respiratory Care

Blebs Bullae And Spontaneous Pneumothorax Thoracic Surgery

Blebs Bullae And Spontaneous Pneumothorax Thoracic Surgery

Learning Radiology Bullous Disease Of The Lungs

Learning Radiology Bullous Disease Of The Lungs

Giant Bullous Emphysema Vanishing Lung Syndrome Images Diagnosis Treatment Options Answer Review Thoracic Imaging

Giant Bullous Emphysema Vanishing Lung Syndrome Images Diagnosis Treatment Options Answer Review Thoracic Imaging

Outcome Of The Surgical Treatment Of Bullous Lung Disease Tanaffos

Outcome Of The Surgical Treatment Of Bullous Lung Disease Tanaffos

Pdf Bullous Lung Disease Or Bullous Emphysema

Pdf Bullous Lung Disease Or Bullous Emphysema

Https Encrypted Tbn0 Gstatic Com Images Q Tbn And9gcs9oqozhmkbel9bwmsahuzwvgzzhxd76ujbj1kzxx1qokscfjkq Usqp Cau

Https Encrypted Tbn0 Gstatic Com Images Q Tbn And9gcs9oqozhmkbel9bwmsahuzwvgzzhxd76ujbj1kzxx1qokscfjkq Usqp Cau

Bullectomy Uses Procedure And Side Effects

Bullectomy Uses Procedure And Side Effects

Bullous Disease Of The Lung Thoracic Key

Bullous Disease Of The Lung Thoracic Key

Lung Hyperlucency Chest

Lung Hyperlucency Chest

Autobullectomy In Idiopathic Giant Bullous Lung Disease Medind

Autobullectomy In Idiopathic Giant Bullous Lung Disease Medind

Bullous Emphysema Jetem

Bullous Emphysema Jetem

A Young Patient With A Minimal Smoking History Presents With Bullous Emphysema And Recurrent Pneumothorax Chest

A Young Patient With A Minimal Smoking History Presents With Bullous Emphysema And Recurrent Pneumothorax Chest

Bullous Lung Disease Ct Scan Ct Scan Machine

Bullous Lung Disease Ct Scan Ct Scan Machine

A Breath From Houdini A Case Of Giant Bullous Emphysema Sciencedirect

A Breath From Houdini A Case Of Giant Bullous Emphysema Sciencedirect

Bullous Emphysema Jetem

Bullous Emphysema Jetem

Images In Copd Giant Bullous Emphysema Journal Of Copd Foundation

Images In Copd Giant Bullous Emphysema Journal Of Copd Foundation

Development Of Bullous Lung Disease In A Patient With Severe Covid 19 Pneumonitis Bmj Case Reports

Development Of Bullous Lung Disease In A Patient With Severe Covid 19 Pneumonitis Bmj Case Reports

Marijuana Abuse And Bullous Emphysema

Marijuana Abuse And Bullous Emphysema

Lung Bullae Treated Using Bullectomy

Lung Bullae Treated Using Bullectomy

Non Surgical Management Of Giant Lung Bullae During Mechanical Ventilation Respiratory Care

Non Surgical Management Of Giant Lung Bullae During Mechanical Ventilation Respiratory Care

Sarcoidosis An Underrecognised Cause For Bullous Lung Disease European Respiratory Society

Sarcoidosis An Underrecognised Cause For Bullous Lung Disease European Respiratory Society

What Is Bullous Emphysema

What Is Bullous Emphysema

Large Lung Bullae In Marijuana Smokers Thorax

Large Lung Bullae In Marijuana Smokers Thorax

Neurofibromatosis Associated Lung Disease A Case Series And Literature Review European Respiratory Society

Neurofibromatosis Associated Lung Disease A Case Series And Literature Review European Respiratory Society

Surgical Treatment Of Bilateral Vanishing Lung Syndrome A Case Report Journal Of Cardiothoracic Surgery Full Text

Surgical Treatment Of Bilateral Vanishing Lung Syndrome A Case Report Journal Of Cardiothoracic Surgery Full Text

What Is Bullae Of Lung How Is It Treated

What Is Bullae Of Lung How Is It Treated

Bullous Emphysema With Mycetoma Journal Of Copd Foundation

Bullous Emphysema With Mycetoma Journal Of Copd Foundation

Pulmonary Stem Cell Treatment For Copd Emphysema

Pulmonary Stem Cell Treatment For Copd Emphysema

Lung Bullae With Air Fluid Levels What Is The Appropriate Therapeutic Approach Respiratory Care

Lung Bullae With Air Fluid Levels What Is The Appropriate Therapeutic Approach Respiratory Care

Cannabis Induced Bullous Lung Disease Leading To Pneumothorax Case Report And Literature Review Abstract Europe Pmc

Cannabis Induced Bullous Lung Disease Leading To Pneumothorax Case Report And Literature Review Abstract Europe Pmc

Https Encrypted Tbn0 Gstatic Com Images Q Tbn And9gctjqe9ihlgjlec6arhja3qchfxpmgyugm73 Fc6fimzfbodthzg Usqp Cau

Https Encrypted Tbn0 Gstatic Com Images Q Tbn And9gctjqe9ihlgjlec6arhja3qchfxpmgyugm73 Fc6fimzfbodthzg Usqp Cau

Most people with bullous emphysema experience shortness of breath wheezing coughing up phlegm and centralized pain in their chests especially when engaging in physical activity.

Bullous Lung Disease is the most common form of emphysema. You have more symptoms than people in Group A. Typically the symptoms are those of COPD. As the disease gets worse scars form and the tissue becomes stiff and thick. Your FEV 1 is between 50 and 80. Bullous Lung Disease is the most common form of emphysema. The main problem with this condition is that this emphysema is preventing lungs to work normaly and the result. Group B GOLD 1 or 2. The harmful effects of tobacco smoking especially with regard to the aetiology of chronic obstructive pulmonary disease are well documented3 Large emphysematous bullae may develop usually in the context of significant tobacco exposure over many years and tend to be associated with airway obstruction reduced gas transfer factor and diffusion coefficient and evidence of centrilobular.


Group B GOLD 1 or 2. As the disease progresses you may find it increasingly difficult to breathe and engage in daily activity. You have more symptoms than people in Group A. Typically the symptoms are those of COPD. You may find it harder to breathe in enough air and youll get short of breath even during normal activities. Most people with bullous emphysema experience shortness of breath wheezing coughing up phlegm and centralized pain in their chests especially when engaging in physical activity. Bullous Lung Disease is the most common form of emphysema.

Post a Comment for "Bullous Lung Disease Symptoms"