Skip to content Skip to sidebar Skip to footer

Old Calcified Granulomatous Disease

Calcified Granuloma Definition Causes Symptoms Diagnosis Treatment

Calcified Granuloma Definition Causes Symptoms Diagnosis Treatment

Old calcified granulomatous disease. Many patients never realize they are infected but tissues within the lungs or other organs become inflamed and form granulomas as. To evaluate combined PET-computed tomography CT criteria for differentiating between granulomatous disease GD and malignancy CA in oncologic PET-CT studies. Disease of the chest is a benign finding.

This means calcium is forming deposits in the granulomas. Granulomas are commonly associated with systemic diseases affecting lymph nodes bone marrow and the liver as well as infectious mononucleosis and chronic uremia as stated by Pathology Outlines. Old granulomatous disease i have calcium deposit in my chest calcified paratracheal lymph nodes Something in lung Collapsed lung blebs etc Cough and breathlessness after pneumonia what happens if you get a positive result for TB My xray result shows hazy infiltrates in right upper lung field LUNG PAIN AFTER PNEUMONIA Bronchitis Walking Pneumonia.

Granulomas are often found incidentally on an X-ray or other imaging test done for a different reason. Calcified granulomatous disease does not appear to aggregate in families. Calcification of the granuloma causes the.

Because it usually takes some time for calcium to be deposited in a granuloma it is generally assumed that a calcified granuloma is an old granuloma or an old area of inflammation. Calcified granulomas can also form from fungal infections such as histoplasmosis or aspergillosis. Determinants influencing patterns of granulomatous disease include occupation age and geographic location.

Calcified Granuloma is normally seen in the lungs and rarely in the liver and kidneys or other organs of the body. Patients with CVID frequently demonstrate recurrent respiratory tract infections 136. Granulomatouslymphocytic interstitial lung disease Common variable immunodeficiency CVID is a primary immunodeficiency characterised by B-lymphocyte dysfunction and hypogammaglobulinaemia.

Tiny calcification left hilum probably a calcified granuloma from old granulomas disease. Sixty-two patients who were referred for fluoro-2-deoxyglucose FDG PET-CT evaluation of pulmonary lesions without a history of concurrent infection were studied. Occupational associations and lack of familial aggregation.

A calcified granuloma is a mass within a particular organ typically the lungs that has calcified. Granulomas frequently occur in the lungs but can occur in other parts of the body and head as well.

A Radiograph Taken For The Right Shoulder Shows Old Healed Download Scientific Diagram

A Radiograph Taken For The Right Shoulder Shows Old Healed Download Scientific Diagram

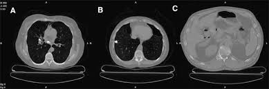
Old Granulomatous Disease Axial Ct Image Shows Multiple Small High Download Scientific Diagram

Old Granulomatous Disease Axial Ct Image Shows Multiple Small High Download Scientific Diagram

Calcified Granuloma Definition Causes Symptoms Diagnosis Treatment

Calcified Granuloma Definition Causes Symptoms Diagnosis Treatment

A Reminder From The Past Unsuspected Splenic Calcified Granulomatosis Decades After Pulmonary Tuberculosis The American Journal Of Medicine Blog

A Reminder From The Past Unsuspected Splenic Calcified Granulomatosis Decades After Pulmonary Tuberculosis The American Journal Of Medicine Blog

Http Pdf Posterng Netkey At Download Index Php Module Get Pdf By Id Poster Id 127167

Http Pdf Posterng Netkey At Download Index Php Module Get Pdf By Id Poster Id 127167

Calcified Granuloma Definition Causes Symptoms Diagnosis Treatment

Calcified Granuloma Definition Causes Symptoms Diagnosis Treatment

Lung Granuloma An Overview Sciencedirect Topics

Lung Granuloma An Overview Sciencedirect Topics

Scielo Brasil Lymph Node Calcifications Lymph Node Calcifications

Scielo Brasil Lymph Node Calcifications Lymph Node Calcifications

The Calcified Lung Nodule What Does It Mean Scienceopen

The Calcified Lung Nodule What Does It Mean Scienceopen

Https Ispub Com Ijs 19 2 5261

Https Ispub Com Ijs 19 2 5261

Do Calcified Lung Granulomas Go Away

Do Calcified Lung Granulomas Go Away

Https Www Resmedjournal Com Article S0954 6111 99 90716 3 Pdf

Https Www Resmedjournal Com Article S0954 6111 99 90716 3 Pdf

Granuloma Calcified Causes Symptoms Treatment Granuloma Calcified

Granuloma Calcified Causes Symptoms Treatment Granuloma Calcified

Http Pdf Posterng Netkey At Download Index Php Module Get Pdf By Id Poster Id 127167

Http Pdf Posterng Netkey At Download Index Php Module Get Pdf By Id Poster Id 127167

Splenic Calcification In Systemic Lupus Erythematosus Bmj Case Reports

Splenic Calcification In Systemic Lupus Erythematosus Bmj Case Reports

Calcified Pulmonary Nodules Radiology Reference Article Radiopaedia Org

Calcified Pulmonary Nodules Radiology Reference Article Radiopaedia Org

A Diffuse Calcified Granuloma B Granuloma With Central Download Scientific Diagram

A Diffuse Calcified Granuloma B Granuloma With Central Download Scientific Diagram

Noninfectious Granulomatous Diseases Of The Chest Radiographics

Noninfectious Granulomatous Diseases Of The Chest Radiographics

Https Www Resmedjournal Com Article S0954 6111 99 90716 3 Pdf

Https Www Resmedjournal Com Article S0954 6111 99 90716 3 Pdf

Splenic Granulomatous Disease Radiology Reference Article Radiopaedia Org

Splenic Granulomatous Disease Radiology Reference Article Radiopaedia Org

The Calcified Lung Nodule What Does It Mean Abstract Europe Pmc

The Calcified Lung Nodule What Does It Mean Abstract Europe Pmc

Http Pdf Posterng Netkey At Download Index Php Module Get Pdf By Id Poster Id 127167

Http Pdf Posterng Netkey At Download Index Php Module Get Pdf By Id Poster Id 127167

Https Encrypted Tbn0 Gstatic Com Images Q Tbn And9gctl65lnpc57n2obb0ynwstl Zbr56byvxhbpkl8r Muh4xvj642 Usqp Cau

Https Encrypted Tbn0 Gstatic Com Images Q Tbn And9gctl65lnpc57n2obb0ynwstl Zbr56byvxhbpkl8r Muh4xvj642 Usqp Cau

Calcified Granuloma In Lung Treatment More

Calcified Granuloma In Lung Treatment More

Calcified Granulomatous Disease Occupational Associations And Lack Of Familial Aggregation Springerlink

Calcified Granulomatous Disease Occupational Associations And Lack Of Familial Aggregation Springerlink

Granulomatous Disease In The Head And Neck Developing A Differential Diagnosis Radiographics

Granulomatous Disease In The Head And Neck Developing A Differential Diagnosis Radiographics

Is Calcified Granuloma Inside The Lungs Dangerous Quora

Is Calcified Granuloma Inside The Lungs Dangerous Quora

Calcified Granuloma

Calcified Granuloma

Diagnostic Approach To Benign And Malignant Calcifications In The Abdomen And Pelvis Radiographics

Diagnostic Approach To Benign And Malignant Calcifications In The Abdomen And Pelvis Radiographics

Calcified Granuloma Medical Definition Youtube

Calcified Granuloma Medical Definition Youtube

Imaging Of Calcified Hepatic Lesions Spectrum Of Diseases Springerlink

Imaging Of Calcified Hepatic Lesions Spectrum Of Diseases Springerlink

Calcified Pulmonary Nodules Radiology Reference Article Radiopaedia Org

Calcified Pulmonary Nodules Radiology Reference Article Radiopaedia Org

An Ambispective Cohort Study To Assess Seizure Recurrences In Children With Calcified Parenchymal Neurocysticercosis In The American Journal Of Tropical Medicine And Hygiene Volume 101 Issue 4 2019

An Ambispective Cohort Study To Assess Seizure Recurrences In Children With Calcified Parenchymal Neurocysticercosis In The American Journal Of Tropical Medicine And Hygiene Volume 101 Issue 4 2019

Granuloma In A 42 Year Old Woman With Previous Tuberculous Infection Of Download Scientific Diagram

Granuloma In A 42 Year Old Woman With Previous Tuberculous Infection Of Download Scientific Diagram

Shutterstock Puzzlepix

Shutterstock Puzzlepix

Scielo Brasil Neurocisticercose Nodular Calcificada Com Sinais De Reativacao Neurocisticercose Nodular Calcificada Com Sinais De Reativacao

Scielo Brasil Neurocisticercose Nodular Calcificada Com Sinais De Reativacao Neurocisticercose Nodular Calcificada Com Sinais De Reativacao

Noninfectious Granulomatous Diseases Of The Chest Radiographics

Noninfectious Granulomatous Diseases Of The Chest Radiographics

Calcified Neurocysticercosis Lesions Trigger Symptomatic Inflammation During Antiparasitic Therapy American Journal Of Neuroradiology

Calcified Neurocysticercosis Lesions Trigger Symptomatic Inflammation During Antiparasitic Therapy American Journal Of Neuroradiology

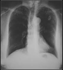
X Ray Showing A Frontal View Of The Chest Of A 54 Year Old Female The X Ray Shows A Calcified Left Hilar Lymph Node Which Most Likely Resulted From Prior Granulomatous Disease Also

X Ray Showing A Frontal View Of The Chest Of A 54 Year Old Female The X Ray Shows A Calcified Left Hilar Lymph Node Which Most Likely Resulted From Prior Granulomatous Disease Also

Calcified Granuloma In Brain Calcified Granuloma Causes Symptoms Treatment

Calcified Granuloma In Brain Calcified Granuloma Causes Symptoms Treatment

Calcified Granuloma In Lung Treatment More

Calcified Granuloma In Lung Treatment More

Lung Left Granuloma Caldified Vtwctr

Lung Left Granuloma Caldified Vtwctr

Calcified Granuloma

Calcified Granuloma

Differential Diagnosis Of Granulomatous Lung Disease Clues And Pitfalls European Respiratory Society

Differential Diagnosis Of Granulomatous Lung Disease Clues And Pitfalls European Respiratory Society

How Can Someone Develop Calcified Granulomas In The Spleen Quora

How Can Someone Develop Calcified Granulomas In The Spleen Quora

Splenic Calcification Radiology Reference Article Radiopaedia Org

Splenic Calcification Radiology Reference Article Radiopaedia Org

Splenic Granulomas A Rare Manifestation Of Mycobacterium Avium Complex In An Immunocompetent Host Bmj Case Reports

Splenic Granulomas A Rare Manifestation Of Mycobacterium Avium Complex In An Immunocompetent Host Bmj Case Reports

Search Q Calcified Granuloma In Brain Tbm Isch

Search Q Calcified Granuloma In Brain Tbm Isch

See your doctor if symptoms persist.

Patients with CVID frequently demonstrate recurrent respiratory tract infections 136. Many patients never realize they are infected but tissues within the lungs or other organs become inflamed and form granulomas as. Granulomas are commonly associated with systemic diseases affecting lymph nodes bone marrow and the liver as well as infectious mononucleosis and chronic uremia as stated by Pathology Outlines. Granulomatouslymphocytic interstitial lung disease Common variable immunodeficiency CVID is a primary immunodeficiency characterised by B-lymphocyte dysfunction and hypogammaglobulinaemia. Disease of the chest is a benign finding. Tiny calcification left hilum probably a calcified granuloma from old granulomas disease. Old granulomatous disease i have calcium deposit in my chest calcified paratracheal lymph nodes Something in lung Collapsed lung blebs etc Cough and breathlessness after pneumonia what happens if you get a positive result for TB My xray result shows hazy infiltrates in right upper lung field LUNG PAIN AFTER PNEUMONIA Bronchitis Walking Pneumonia. Patients with CVID frequently demonstrate recurrent respiratory tract infections 136. Granulomas are seen in a wide variety of diseases both infectious and noninfectious.


Tiny calcification left hilum probably a calcified granuloma from old granulomas disease. Disease of the chest is a benign finding. This condition causes inflammationin your lungs and other parts of your body. Granulomas are commonly associated with systemic diseases affecting lymph nodes bone marrow and the liver as well as infectious mononucleosis and chronic uremia as stated by Pathology Outlines. Calcified granulomas can also form from fungal infections such as histoplasmosis or aspergillosis. A granuloma is a small area of inflammation. Many patients never realize they are infected but tissues within the lungs or other organs become inflamed and form granulomas as.

Post a Comment for "Old Calcified Granulomatous Disease"