Skip to content Skip to sidebar Skip to footer

Whipple's Disease Neurological Symptoms

Neurologic Symptoms And Signs In Whipple S Disease Download Table

Neurologic Symptoms And Signs In Whipple S Disease Download Table

Whipple's disease neurological symptoms. Whipples case report presented a 36-year-old medical missionary with a 5-year history of episodes of relapsing-progressive polyarthritis subsequently complicated by weight loss cough fever. We report an unusual case of Whipples disease which remained undiagnosed for several years in a patient being treated with immunosuppressive therapy for many years. 1 He developed recurring arthropathy weight loss and steatorrhoea became worse and died.

Warning Signs Linked To Whipple Disease Fatigue And Weakness. In some patients however sensory symptoms are confined to the upper limbs. The commonest initial neurological complaint is a mixture of numbness and paraesthesia distributed symmetrically and starting usually either in the feet alone or in the feet and hands together.

Neurological symptoms occur in up to 40 percent of individuals and may include dementia abnormalities of eye and facial muscle movements headaches seizures loss of muscle control memory loss weakness and vision problems. Neurological symptoms occur in up to 40 percent of individuals and may include dementia abnormalities of eye and facial muscle movements headaches seizures loss of muscle control memory loss weakness and vision problems. This is in part a result of the relative rarity of this entity and in part due to the more frequent initial presentation of the disease with gastrointestinal musculoskeletal or cardiovascular symptoms.

In 1907 George Hoyt Whipple then an instructor in pathology at Johns Hopkins University published a case report of a 36 year old physician who had been domiciled in Constantinople. Chronic diarrhea that can be bloody. These include the following.

The patient presented with a purpuric rash neurological symptoms lymphadenopathy and gastrointestinal symptoms. Neurological symptoms may include abnormalities of eye and facial muscle movements confusion seizures ataxia memory loss and vision impairment. Neurology of Whipples disease.

Since the digestive system is most commonly affected the most characteristic symptoms of Whipple. Neurological manifestations of Whipple disease Whipple disease is an uncommon chronic bacterial infection due to Tropheryma whipplei. Patients with Whipples disease can develop mental and psychiatric changes supranuclear gaze palsy upper motoneuron signs hypothalamic dysfunction cranial nerve abnormalities seizures ataxia myorhythmia and sensory deficits.

Its common for patients with Whipple disease to experience fatigue and weakness. Clinical manifestations are protean joint pain fever weight loss abdominal pain lymphadenopathies and the diagnosis is often delayed.

Whipple S Disease Nejm

Whipple S Disease Nejm

Most Common Symptoms Of Classical Whipple S Disease Download Table

Most Common Symptoms Of Classical Whipple S Disease Download Table

Whipple S Disease Oncohema Key

Whipple S Disease Oncohema Key

Whipple Disease Causes Symptoms Diagnosis Treatment

Whipple Disease Causes Symptoms Diagnosis Treatment

17 39 Clinical Features Of Whipple S Disease Gastroenterologiya Ang Rus Konspekt Lekcij

17 39 Clinical Features Of Whipple S Disease Gastroenterologiya Ang Rus Konspekt Lekcij

The Most Prevalent Clinical Symptoms And Signs In Whipple S Disease Download Table

The Most Prevalent Clinical Symptoms And Signs In Whipple S Disease Download Table

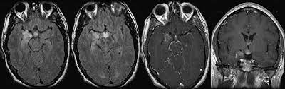
Primary Whipple Disease Of The Brain Case Report With Long Term Clini Ndt

Primary Whipple Disease Of The Brain Case Report With Long Term Clini Ndt

Tropheryma Whipplei Infection And Whipple S Disease The Lancet Infectious Diseases

Tropheryma Whipplei Infection And Whipple S Disease The Lancet Infectious Diseases

Whipple S Disease Nejm

Whipple S Disease Nejm

Clinical Manifestations Treatment And Diagnosis Of Tropheryma Whipplei Infections Clinical Microbiology Reviews

Clinical Manifestations Treatment And Diagnosis Of Tropheryma Whipplei Infections Clinical Microbiology Reviews

Whipple S Disease Diarrhea With Dementia Creative Med Doses

Whipple S Disease Diarrhea With Dementia Creative Med Doses

Mr Imaging Of Central Nervous System Whipple Disease A 15 Year Review American Journal Of Neuroradiology

Mr Imaging Of Central Nervous System Whipple Disease A 15 Year Review American Journal Of Neuroradiology

Whipple S Disease Journal Of The Neurological Sciences

Whipple S Disease Journal Of The Neurological Sciences

Scielo Brasil Whipple S Disease With Neurological Manifestions Case Report Whipple S Disease With Neurological Manifestions Case Report

Scielo Brasil Whipple S Disease With Neurological Manifestions Case Report Whipple S Disease With Neurological Manifestions Case Report

Whipple S Disease Wikipedia

Whipple S Disease Wikipedia

Cerebral Whipple S Disease Laboratory Data And Mri Findings Download Table

Cerebral Whipple S Disease Laboratory Data And Mri Findings Download Table

Primary Whipple Disease Of The Central Nervous System Presenting With Rhombencephalitis International Journal Of Infectious Diseases

Primary Whipple Disease Of The Central Nervous System Presenting With Rhombencephalitis International Journal Of Infectious Diseases

Whipple S Disease Ana Mae H Quintal Medical Resident Ppt Download

Whipple S Disease Ana Mae H Quintal Medical Resident Ppt Download

Figure 3 From Tropheryma Whipplei Infection Whipple Disease In The Usa Semantic Scholar

Figure 3 From Tropheryma Whipplei Infection Whipple Disease In The Usa Semantic Scholar

Systematic Review Whipple S Disease Tropheryma Whipplei Infection And Its Unmasking By Tumour Necrosis Factor Inhibitors Marth 2015 Alimentary Pharmacology Amp Therapeutics Wiley Online Library

Systematic Review Whipple S Disease Tropheryma Whipplei Infection And Its Unmasking By Tumour Necrosis Factor Inhibitors Marth 2015 Alimentary Pharmacology Amp Therapeutics Wiley Online Library

Characteristics Of Five Patients With Whipple S Disease Diagnosed In Download Table

Characteristics Of Five Patients With Whipple S Disease Diagnosed In Download Table

Whipple S Disease Nejm

Whipple S Disease Nejm

Clinical Manifestations Treatment And Diagnosis Of Tropheryma Whipplei Infections Abstract Europe Pmc

Clinical Manifestations Treatment And Diagnosis Of Tropheryma Whipplei Infections Abstract Europe Pmc

1

1

Whipple Disease Treatment In Thailand Almurshidi Medical Tourism Agency Hospitals In Thailand

Whipple Disease Treatment In Thailand Almurshidi Medical Tourism Agency Hospitals In Thailand

References In Whipple S Disease New Aspects Of Pathogenesis And Treatment The Lancet Infectious Diseases

References In Whipple S Disease New Aspects Of Pathogenesis And Treatment The Lancet Infectious Diseases

Systematic Review Whipple S Disease Tropheryma Whipplei Infection And Its Unmasking By Tumour Necrosis Factor Inhibitors Marth 2015 Alimentary Pharmacology Amp Therapeutics Wiley Online Library

Systematic Review Whipple S Disease Tropheryma Whipplei Infection And Its Unmasking By Tumour Necrosis Factor Inhibitors Marth 2015 Alimentary Pharmacology Amp Therapeutics Wiley Online Library

Decision Tree For Diagnosis Of Whipple S Disease In A Patient With Download Scientific Diagram

Decision Tree For Diagnosis Of Whipple S Disease In A Patient With Download Scientific Diagram

Whipple S Disease Revisited Journal Of Clinical Pathology

Whipple S Disease Revisited Journal Of Clinical Pathology

Whipple Disease A 15 Year Retrospective Study On 36 Patients With Positive Polymerase Chain Reaction For Tropheryma Whipplei Clinical Microbiology And Infection

Whipple Disease A 15 Year Retrospective Study On 36 Patients With Positive Polymerase Chain Reaction For Tropheryma Whipplei Clinical Microbiology And Infection

Primary Whipple Disease Of The Brain Case Report With Long Term Clini Ndt

Primary Whipple Disease Of The Brain Case Report With Long Term Clini Ndt

Tropheryma Whipplei And Whipple S Disease Journal Of Infection

Tropheryma Whipplei And Whipple S Disease Journal Of Infection

Isolated Cns Whipple Disease With Normal Brain Mri And False Positive Csf 14 3 3 Protein A Case Report And Review Of The Literature Topic Of Research Paper In Clinical Medicine Download Scholarly Article

Isolated Cns Whipple Disease With Normal Brain Mri And False Positive Csf 14 3 3 Protein A Case Report And Review Of The Literature Topic Of Research Paper In Clinical Medicine Download Scholarly Article

Whipple S Disease Diarrhea With Dementia Creative Med Doses

Whipple S Disease Diarrhea With Dementia Creative Med Doses

Whipple Disease Causes Risk Factors Pathophysiology Symptoms Diagnosis Treatment Youtube

Whipple Disease Causes Risk Factors Pathophysiology Symptoms Diagnosis Treatment Youtube

Whipple S Disease Nejm

Whipple S Disease Nejm

Https N Neurology Org Content Neurology 94 7 E758 Full Pdf

Https N Neurology Org Content Neurology 94 7 E758 Full Pdf

Tropheryma Whipplei An Unusual Cause Of The Accumulation In Positron Emission Tomography Clinical Microbiology And Infection

Tropheryma Whipplei An Unusual Cause Of The Accumulation In Positron Emission Tomography Clinical Microbiology And Infection

Tropheryma Whipplei And Whipple S Disease Journal Of Infection

Tropheryma Whipplei And Whipple S Disease Journal Of Infection

Whipple S Disease Report Of Five Cases With Different Clinical Features

Whipple S Disease Report Of Five Cases With Different Clinical Features

Table 1 From Changing Paradigms In Whipple S Disease And Infection With Tropheryma Whipplei Semantic Scholar

Table 1 From Changing Paradigms In Whipple S Disease And Infection With Tropheryma Whipplei Semantic Scholar

References In Whipple S Disease New Aspects Of Pathogenesis And Treatment The Lancet Infectious Diseases

References In Whipple S Disease New Aspects Of Pathogenesis And Treatment The Lancet Infectious Diseases

Whipple S Disease Symptoms Causes Diagnosis Treatment

Whipple S Disease Symptoms Causes Diagnosis Treatment

Tumoural Form Of Whipple S Disease Simulating Carcinomatosis Sciencedirect

Tumoural Form Of Whipple S Disease Simulating Carcinomatosis Sciencedirect

Diagnosis And Management Of Whipple S Disease Of The Brain Practical Neurology

Diagnosis And Management Of Whipple S Disease Of The Brain Practical Neurology

Pathology Of Whipple S Disease Whipple S Disease Pathology Disease

Pathology Of Whipple S Disease Whipple S Disease Pathology Disease

Whipple S Disease Clinical Gastroenterology And Hepatology

Whipple S Disease Clinical Gastroenterology And Hepatology

Whipple S Disease Manfred Zierhut Centre Of Ophthalmology Ppt Video Online Download

Whipple S Disease Manfred Zierhut Centre Of Ophthalmology Ppt Video Online Download

3

3

These include the following.

Chronic diarrhea that can be bloody. Warning Signs Linked To Whipple Disease Fatigue And Weakness. Neurological symptoms occur in up to 40 percent of individuals and may include dementia abnormalities of eye and facial muscle movements headaches seizures loss of muscle control memory loss weakness and vision problems. This is in part a result of the relative rarity of this entity and in part due to the more frequent initial presentation of the disease with gastrointestinal musculoskeletal or cardiovascular symptoms. Neurological symptoms may include abnormalities of eye and facial muscle movements confusion seizures ataxia memory loss and vision impairment. We report an unusual case of Whipples disease which remained undiagnosed for several years in a patient being treated with immunosuppressive therapy for many years. In 1907 George Hoyt Whipple then an instructor in pathology at Johns Hopkins University published a case report of a 36 year old physician who had been domiciled in Constantinople. Whipples case report presented a 36-year-old medical missionary with a 5-year history of episodes of relapsing-progressive polyarthritis subsequently complicated by weight loss cough fever. These include the following.


It is a relatively rare multisystem disorder caused by the gram-positive bacillus Tropheryma whipplei. These include the following. Whipples disease is infrequently considered in the differential diagnosis of patients presenting with progressive neurological deterioration. Warning Signs Linked To Whipple Disease Fatigue And Weakness. In some patients however sensory symptoms are confined to the upper limbs. Chronic diarrhea that can be bloody. Whipples case report presented a 36-year-old medical missionary with a 5-year history of episodes of relapsing-progressive polyarthritis subsequently complicated by weight loss cough fever.

Post a Comment for "Whipple's Disease Neurological Symptoms"